L'epulide è una neoformazione, benigna nel 99% dei casi, rotondeggiante, non dolente, peduncolata, di origine infiammatoria, di consistenza …
L'epulide è una neoformazione, benigna nel 99% dei casi, rotondeggiante, non dolente, peduncolata, di origine infiammatoria, di consistenza …
La visita odontoiatrica parodontale è la chiave più importante per poter conoscere le condizioni orali della nostra bocca …
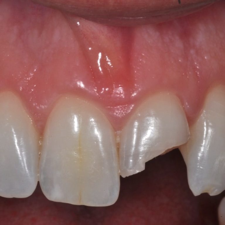
Si definisce trauma dentale ogni "incidente" che provochi un danno funzionale ed estetico a livello del "complesso dentale". …
L'epulide è un tumore prevalentemente benigno (99% circa), ha una forma rilevata, rotondeggiante o trapezoidale che trae origine …
[Nella fotografia: Reazione allergica da collutorio o da dentifricio] Il collutorio è un prodotto in soluzione contenente uno …
Attualmente lo sbiancamento è uno dei trattamenti estetici più richiesti in campo odontoiatrico. Si tratta di una procedura …
Parodontite, piorrea e malattia parodontale sono sinonimi che indicano la medesima condizione clinica e cioè un'infezione batterica che …
[Immagine di un dente del giudizio in contiguità con il canale mandibolare] La lesione del nervo alveolare inferiore …
"Devo fare una chirurgia parodontale", "debbo estrarre il dente del giudizio", "mi hanno detto che devo rimuovere una …
La visita odontoiatrica è uno dei capisaldi dell'odontoiatria dal momento che comprende lo scrupoloso controllo della dentatura, della …