Potete ascoltare la registrazione dell'intervista andata in onda il 14 dicembre 2023 su GiornaleRadio.fm durante la trasmissione 120 …
Potete ascoltare la registrazione dell'intervista andata in onda il 14 dicembre 2023 su GiornaleRadio.fm durante la trasmissione 120 …
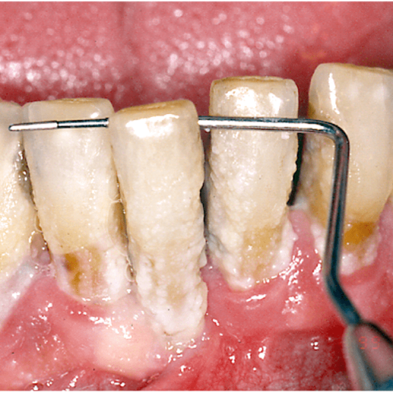
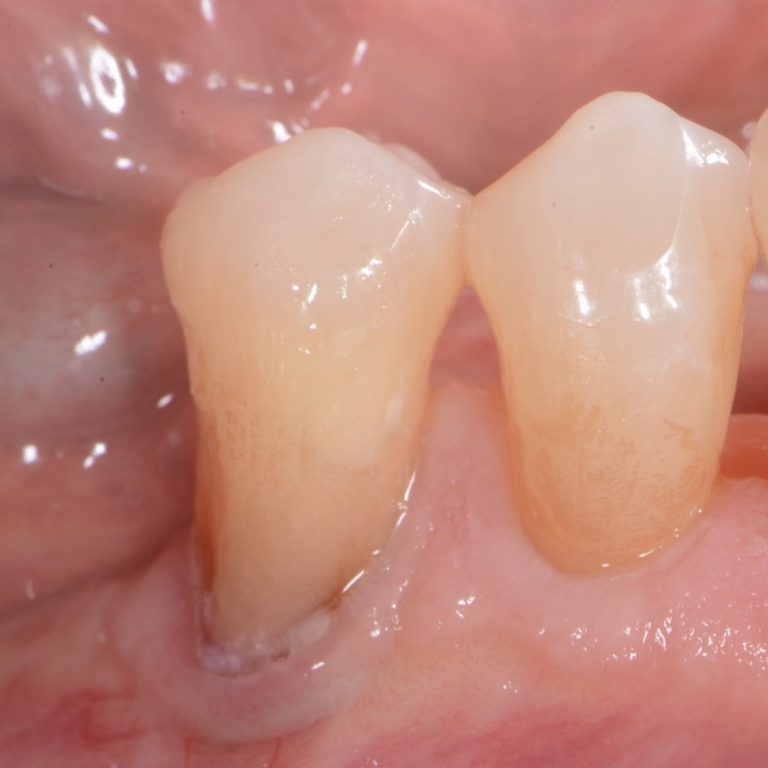
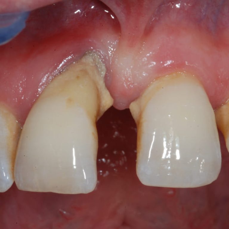
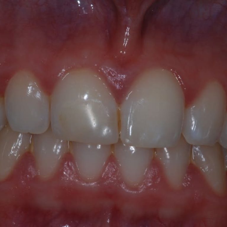
Il primo obbiettivo della terapia parodontale è quello di conservare, ripristinare o ricreare, mediante una terapia minimale, un'anatomia …
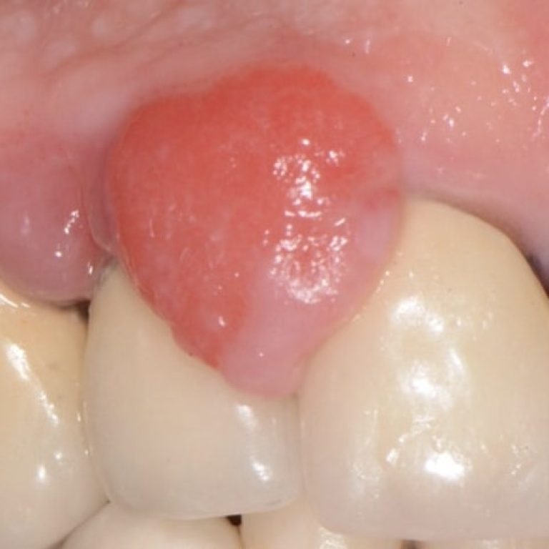
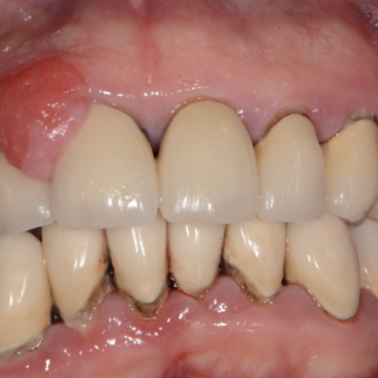
L'epulide è una neoformazione, benigna nel 99% dei casi, rotondeggiante, non dolente, peduncolata, di origine infiammatoria, di consistenza …
L'epulide è un tumore prevalentemente benigno (99% circa), ha una forma rilevata, rotondeggiante o trapezoidale che trae origine …
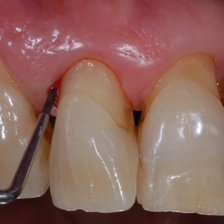
Parodontite, piorrea e malattia parodontale sono sinonimi che indicano la medesima condizione clinica e cioè un'infezione batterica che …
Sono ormai numerose le evidenze scientifiche che associano un'infiammazione cronica causata da batteri alla malattia parodontale, denominata altresì …
Proseguiamo oggi con l'argomento introdotto il mese scorso, quando abbiamo delineato il percorso igienico in una bocca sana. …
Lavati i denti dopo aver mangiato! Quante volte i nostri genitori hanno provato a inculcarci questi principi igienici …
Innanzitutto definiamo la piorrea come un'infezione gengivale causata da batteri patogeni che distruggono nel tempo l'osso di supporto …
Caro paziente, quando si parla di salute orale occorre ricordare che non esistono pillole miracolose o pozioni magiche …