Il 01 febbraio 2021 la rivista Nutrition Review ha pubblicato un interessante articolo; si tratta di una rassegna …
Il 01 febbraio 2021 la rivista Nutrition Review ha pubblicato un interessante articolo; si tratta di una rassegna …
Alcuni giorni fa sul Journal of Clinical Periodontology (una delle riviste più importanti del settore) è stato pubblicato …
Il mio dentista mi ha trovato delle tasche… il mio parodontologo mi ha detto che sono affetto da …
Come si sta bene quando tutto il nostro corpo funziona e reagisce positivamente ai nostri stimoli con un …
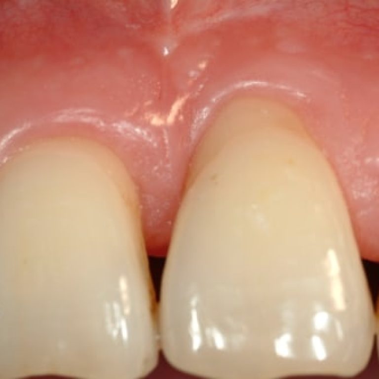
In odontoiatria si definisce recessione gengivale una migrazione dei tessuti muco-gengivali che porta ad una inadeguata quantità di …
Una buona igiene orale avviene attraverso la rimozione della placca batterica, preservando la dentizione sia dalla carie che …
Il massaggio gengivale è uno dei punti fondamentali della terapia dei pazienti parodontali nei processi di guarigione delle …
Vi presento i 10 steps per mantenere le gengive sane e in perfetta forma: Per mantenere le gengive …
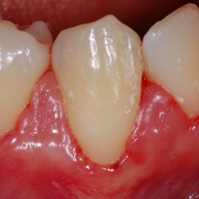
Le gengive che sanguinano spesso durante lo spazzolamento ed il sangue che si trova al mattino sul cuscino …
La scienza indaga da anni sulle interazioni fra malattia parodontale e malattie a distanza ed uno dei campi …