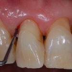
Vitamina C e sanguinamento gengivale

Il 01 febbraio 2021 la rivista Nutrition Review ha pubblicato un interessante articolo; si tratta di una rassegna sistematica della letteratura sui rapporti tra la tendenza al sanguinamento gengivale e la richiesta dell'organismo di acido ascorbico o vitamina C. Lo studio ha preso in esame 15 ricerche condotte in 6 Paesi diversi che comprendevano 1140 …

Prof. Luigi Checchi
Prof. Luigi Checchi

Medico chirurgo. Professore ordinario F.R. di Parodontologia ed Implantologia, Alma Mater Studiorum - Università di Bologna. Laureato in Medicina e Chirurgia, specializzato in Odontoiatria e Protesi Dentaria, ha conseguito la specializzazione in Parodontologia presso la University of Southern California di Los Angeles. E' autore di numerose pubblicazioni in lingua italiana ed inglese.

Share:

Il 01 febbraio 2021 la rivista Nutrition Review ha pubblicato un interessante articolo; si tratta di una rassegna sistematica della letteratura sui rapporti tra la tendenza al sanguinamento gengivale e la richiesta dell’organismo di acido ascorbico o vitamina C.

Lo studio ha preso in esame 15 ricerche condotte in 6 Paesi diversi che comprendevano 1140 partecipanti “fondamentalmente” sani ma con tendenza al sanguinamento gengivale ad un sondaggio “delicato” e 8210 pazienti che presentavano emorragie retiniche.

Deficit Vitamina C e sanguinamento gengivale

Lo studio conclude evidenziando che bassi quantitativi di vitamina C nel sangue coincidono con un’aumentata tendenza al sanguinamento in entrambi i gruppi di pazienti esaminati e questo fatto può essere visto come un punto importante e premonitore di una patologia micro vascolare che è reversibile con un aumento della dose giornaliera di acido ascorbico o vitamina C.

Aspetto medico nutrizionale e terapia parodontale

L’importanza di questo studio sta nel non perdere mai di vista anche l’aspetto medico-nutrizionale nella terapia parodontale che deve essere fondata sì sulla rimozione domiciliare e professionale della placca batterica ma che deve poi prendere in considerazione la supplementazione di sostanze che possono aiutare a diminuire il processo infiammatorio e ad agevolare il processo di guarigione.

Sanguinamento gengivale come indicatore di patologia

Il sanguinamento gengivale può e deve quindi diventare un marker nella individuazione dei “bassi” livelli di acido ascorbico portando il dentista ad un controllo accurato dell’anamnesi alimentare del paziente e della sua assunzione di vitamina C che, ricordiamo, deve essere di almeno 85 mg./ die nella donna e 105 mg. /die nell’uomo, somministrata in piccolo dosi ripetute piuttosto che in un’unica dose massicciata (per approfondire leggete l’articolo Vitamina C e malattia parodontale)

Conclusioni sul deficit da vitamina C ed il sanguinamento gengivale

Un buon equilibrio nutrizionale, dove la vitamina C sia in evidenza e nella giusta quantità, va sempre ricercato non soltanto nei pazienti affetti da malattia parodontale o piorrea ma anche in ciascuno di noi.

Bibliografia:

  • Philippe P Hujoel,  Tomotaka Kato,  Isabel A Hujoel,  Margaux L A Hujoel
    Bleeding tendency and ascorbic acid requirements: systematic review and meta-analysis of clinical trials
    Nutrition Reviews, nuaa115,
    Published: 01 February 2021
  • Graziani F, Discepoli N, Gennai S, Karapetsa D, Nisi M, Bianchi L, Rosema NAM, Van der Velden U.
    “The effect of twice daily kiwifruit consumption on periodontal and systemic conditions before and after treatment: a randomized clinical trial”
    J Periodontol. 2018 Mar;89(3):285-293. doi: 10.1002/JPER.17-0148. Epub 2018 Feb 27
  • SINU (Società Italiana di Nutrizione Umana)
    LARN: Livelli di Assunzione di Riferimento di Nutrienti ed energia per la popolazione italiana
    IV Revisione-II° ristampa, 2018
  • Arienti G.
    Le basi molecolari della nutrizione
    4° edizione, 2016, Piccin Editore
  • Costantini M., Cannella, Tomassi
    Alimentazione e nutrizione umana
    3° edizione, Ottobre 2016, Il pensiero scientifico Editore.