Il 01 febbraio 2021 la rivista Nutrition Review ha pubblicato un interessante articolo; si tratta di una rassegna …
Il 01 febbraio 2021 la rivista Nutrition Review ha pubblicato un interessante articolo; si tratta di una rassegna …
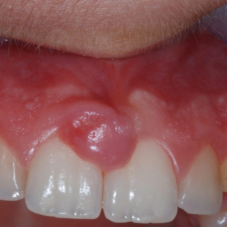
Parlare di gravidanza dal punto di vista odontoiatrico è assai semplice se si fotografa lo stato clinico orale …
Tracciare il profilo microbiologico di ogni paziente in cura è un atto dovuto nel tentativo di evidenziare le …