Test microbiologico parodontale, virale e fungino

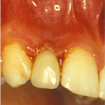
Tracciare il profilo microbiologico di ogni paziente in cura è un atto dovuto nel tentativo di evidenziare le potenzialità patogene di un gruppo di 16 microrganismi imputati nella eziopatogenesi della malattia parodontale o piorrea. La loro correlazione con la presenza di tasche parodontali, sanguinamento e pus ne fanno degli indiziati speciali se presenti in percentuali …

Prof. Luigi Checchi
Prof. Luigi Checchi

Medico chirurgo. Professore ordinario F.R. di Parodontologia ed Implantologia, Alma Mater Studiorum - Università di Bologna. Laureato in Medicina e Chirurgia, specializzato in Odontoiatria e Protesi Dentaria, ha conseguito la specializzazione in Parodontologia presso la University of Southern California di Los Angeles. E' autore di numerose pubblicazioni in lingua italiana ed inglese.

Share:

Tracciare il profilo microbiologico di ogni paziente in cura è un atto dovuto nel tentativo di evidenziare le potenzialità patogene di un gruppo di 16 microrganismi imputati nella eziopatogenesi della malattia parodontale o piorrea.

La loro correlazione con la presenza di tasche parodontali, sanguinamento e pus ne fanno degli indiziati speciali se presenti in percentuali elevate.

La sola individuazione, invece, di questi batteri ci permette di agire precocemente e profilatticamente con l’obbiettivo di eradicarne la presenza ed evitare l’insorgenza della malattia parodontale.

Perchè fare un test microbiologico parodontale?

Il test microbiologico è quindi nello stesso tempo predittivo di malattia parodontale ma anche indicativo di una possibile evoluzione da patologia borderline a patologia parodontale conclamata.

E non è tutto! Infatti in relazione ai risultati di questi esami emerge una diagnosi parodontale più precisa e conseguentemente possono essere elaborati protocolli terapeutici specifici di grosso impatto terapeutico, migliorando o perfezionando la terapia, sia clinica che farmacologica.

La tecnologia usata in questi test è quella della PCR Real Time che è rapida, specifica ad elevata sensibilità e che permette di identificare i batteri nella loro qualità e quantità totale.

Ed ancora, gli esami di microbiologia risultano anche essere fondamentali nell’individuare un corretto protocollo di igiene orale quotidiana.

Ma come faranno questi batteri a creare infezione ed infiammazione?

Diversi sono i fattori di virulenza che vengono individuati in questi germi: da una tossina che danneggia le cellule dell’ospite e le difese immunitarie ad una inibizione della chemiotassi, alla presenza di enzimi che degradano il connettivo e riassorbono l’osso alveolare che circonda il dente… insomma una perfetta e sempre attiva macchina da guerra!

I virus della bocca: Herpes Simplex di tipo 1 e Epstein-Barr

Assieme a questi batteri lo stesso test analizza anche due virus, l’Herpes Simplex di tipo 1 e Epstein-Barr nella probabilità di un loro ruolo attivo nella patologia parodontale. Sono infatti numerosi gli studi che hanno evidenziato la presenza di questi virus nei pazienti con parodontite cronica rispetto a pazienti sani.

Candida Albicans: il fungo della bocca

La stessa analisi microbiologica e virale è in grado di evidenziare anche la presenza di un fungo, la Candida Albicans.

Questo micete, che normalmente è un fungo opportunistico e che a volte può diffondersi nella bocca prendendo il nome di mughetto, può essere rilevato nelle tasche parodontali profonde aggravando la patologia parodontale.

Test microbiologico parodontale, virale e fungino
Test microbiologico parodontale, virale e fungino

Conclusioni sul test microbiologico parodontale, virale e fungino:

In definitiva viene incoraggiato l’uso estensivo di questi test per le numerose e specifiche informazioni che vengono fornite allo specialista, indirizzandolo verso la terapia più appropriata da effettuare.

Bibliografia:

  • Gatto M.R., Montevecchi M., Paolucci M., Landini M.P., Checchi L.,
    Prevalence of six periodontal pathogens in subgingival samples of Italian patients with chronic periodontitis
    New Microbiologica, 37, 517-524, 2014
  • Montevecchi M., Angelini F., Checchi V., Gatto M. R., Checchi L.
    Microbiological Distribution of Six Periodontal Pathogens Between Untreated Italian and Dutch Periodontal Patients
    Oral Health & Preventive Dentistry, Vol. 14, n. 4, 2016, 329-337
  • Checchi L., Checchi V., Farina R., Minenna L., Nieri V., Toselli L., Trombelli L., Zaetta A.
    Validazione di un metodo per la valutazione del rischio parodontale. Lavoro italiano su Journal of Clinical Periodontology
    Odontoiatria33, dicembre 2016, pagg.1-4
  • Checchi L., Gatto M. R., Checchi V., Carinci F.
    Bacteria prevalence in a large Italian population sample: a clinical and microbiological study
    Journal of Biological Regulators & Homeostatic Agents, 2016, Vol 30, n. 2, 199-208