Parlare di estetica non è difficile, anzi! Ogni giorno se ne parla tanto, forse troppo e spesso in termini confusi, facendo il più delle volte un marketing della propria immagine e non approfondendo le caratteristiche del concetto di bellezza.Nei fatti, come scriveva Hegel nel lontano 1800, la bellezza è un prodotto sensoriale o dell'immaginazione e …
Parlare di estetica non è difficile, anzi! Ogni giorno se ne parla tanto, forse troppo e spesso in termini confusi, facendo il più delle volte un marketing della propria immagine e non approfondendo le caratteristiche del concetto di bellezza.
Nei fatti, come scriveva Hegel nel lontano 1800, la bellezza è un prodotto sensoriale o dell’immaginazione e non può essere una scienza esatta, nonostante noi tutti siamo abbagliati e confusi dal nostro sguardo che, secondo Desmond Morris, si concentra prevalentemente sugli occhi e sulla bocca pur percorrendo incessantemente tutti i lineamenti del viso.
Il concetto d’estetica è soggetto inoltre a numerosi fattori, quello culturale-geografico (ad esempio le etnie), quello storico (ad esempio le mode degli anni 50 vs quelle di oggi) e quello soggettivo, dove sicurezza, fiducia, grinta, entusiasmo, facilità a stabilire i contatti sociali, successo in campo professionale e prestigio possono rendere bello e comunque ben accettabile ciò che bello sempre non è.
L’effetto marketing pubblicitario ha poi portato in questi anni ad una evoluzione del concetto di estetica che viene spesso associata al successo ed alla salute.
Sorriso e bocca
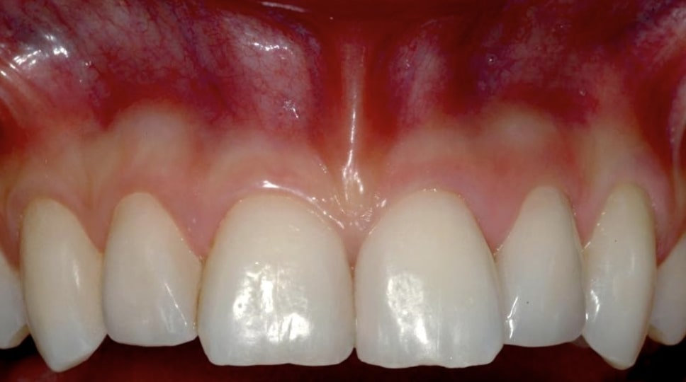
Il nostro sorriso è e resta un centro di attenzione importante, uno specchio di emozioni, un asse centrale di comunicazioni e non solo, permeando profondamente la nostra esistenza e divenendo parte importante della nostra immagine esterna.
Ed il sorriso è il risultato, bello o brutto, di una serie di parametri quali la linea delle labbra, la curva del sorriso, le curve del labbro superiore con i relativi scarichi nasali, gli spazi laterali negativi, la simmetria, il piano occlusale frontale, gli elementi dentari e non ultimo la componente gengivale, elementi questi che vanno a determinare o meno la bellezza e la luminosità del volto.
Avere quindi un’estetica ottimale equivale ad avere una ottimizzazione di tutti questi parametri, cosa indubbiamente non facile da avere o da trovare.
Anni fa, quando insegnavo all’Università di Bologna, chiesi alla mia classe formata da 30 studenti, di eseguire una foto del proprio sorriso e, sorpresa, non riuscii a trovare una sola foto che potesse soddisfare gli standard di bellezza estetica del sorriso sopra riportati. E ricordo che la classe si componeva di una gioventù che, nel suo insieme, giudicavo assai bella.
Il parodontologo
Il parodontologo ha il compito, fra i tanti, di preservare e di migliorare l’estetica orale mantenendo i margini gengivali aderenti al dente ed a lama di coltello, con papille che devono riempire gli spazi interprossimali, con presenza di solchi inter-radicolari e gengiva e osso ben aderenti l’uno all’altro.
Importantissima fra questi parametri la papilla gengivale i cui valori di altezza, larghezza e spessore stanno alla base dell’estetica, in primis, e del successo chirurgico in caso di recessioni gengivali.

Va comunque ricordato come il biotipo parodontale che tutti noi presentiamo stia alla base di un giudizio estetico: più bello quello sottile ma più fragile ai traumatismi, più grossolano quello spesso ma più resistente allo spazzolamento ed all’azione lesiva dei dentifrici.
Il paziente gioca quindi un ruolo fondamentale nell’oral beauty routine dove la cura del viso, un must di sempre, va di pari passo con la cura della bocca e del sorriso, mantenendo nel tempo la salute orale.
Conclusioni
L’estetica è la disciplina che ha per oggetto la bellezza e la bellezza non è una scienza ma un prodotto di ciò che si è o che si desidera, soggetta alle mode ed al divenire dell’età, che vede comunque nel sorriso un pilastro fondamentale ed inossidabile.
Il parodontologo si innesta in questa branca con lo studio del paziente in esame e con la ricerca di riprodurre un’estetica clinica mediante riferimenti ai canoni di bellezza attuali, compito non sempre facile da attuarsi.
La legge n. 56/2023 del Maggio 2023 ha autorizzato l’odontoiatra a proporre protocolli di medicina estetica a tutto il volto del paziente e non più ai soli tessuti relativi al terzo inferiore del volto, cioè ai tessuti attorno alla bocca, al fine di migliorare quei segni legati all’invecchiamento del viso.
Questa è una grande opportunità che è stata offerta al parodontologo e all’odontoiatria che può ora e per tutte le età (well-aging), offrire una cura a tutto il viso e non solo al settore periorale.

Bibliografia
- G.W.F. Hegel
Estetica
Edizione la Scuola, 2013 - Checchi L., Montevecchi M., Piana L., Checchi V.
Tecniche di preservazione e ricostruzione della papilla interdentale
Dental Cadmos gennaio 2009, pagg 1-23 - Checchi L., Zucchelli G., Alessandri Bonetti G.
L’estetica in Parodontologia
in L’arte di crescere: adolescenti maturi o adulti bambini? a cura di Lucio Pardo e Luigi Pagnoni, Clueb Ed 2008, pagg 455-461 - L. Checchi, S. E. Schonfeld
A technique for esthetic treatment of maxillary anterior infrabony lesions
Quintessence international 3/88, vol. 19, pagg 209-213 - Desmond Morris
L’uomo ed i suoi gesti
1987 Mondadori







