Gengivite

Lavati i denti dopo aver mangiato! Quante volte i nostri genitori hanno provato a inculcarci questi principi igienici e quante volte non abbiamo prestato attenzione ai loro insegnamenti o perlomeno non abbiamo seguito il loro consiglio come avremmo dovuto! Ma come ci si pulisce la bocca? Probabilmente risponderete con lo spazzolino ed il dentifricio, ma …

Prof. Luigi Checchi
Prof. Luigi Checchi

Medico chirurgo. Professore ordinario F.R. di Parodontologia ed Implantologia, Alma Mater Studiorum - Università di Bologna. Laureato in Medicina e Chirurgia, specializzato in Odontoiatria e Protesi Dentaria, ha conseguito la specializzazione in Parodontologia presso la University of Southern California di Los Angeles. E' autore di numerose pubblicazioni in lingua italiana ed inglese.

Share:

Lavati i denti dopo aver mangiato! Quante volte i nostri genitori hanno provato a inculcarci questi principi igienici e quante volte non abbiamo prestato attenzione ai loro insegnamenti o perlomeno non abbiamo seguito il loro consiglio come avremmo dovuto!

Ma come ci si pulisce la bocca? Probabilmente risponderete con lo spazzolino ed il dentifricio, ma è sempre così? È sempre vero? È una procedura valida per tutti noi?

Queste sono le domande a cui la maggioranza di noi pensa di poter rispondere positivamente ma spesso le risposte che diamo non sono poi così corrette come pensiamo.

Igiene orale: quale percorso seguire?

Il percorso igienico nasce dalla necessità di mantenere sani nel tempo il dente ed il parodonto, ovvero tutto ciò che si trova immediatamente attorno al dente, pena il trovarsi affetto da carie, i denti, o da malattia parodontale, il parodonto.

Questa ultima è una patologia cronica, ad eziologia batterica, a lenta evoluzione, con picchi non prevedibili di attività infiammatoria distruttiva.

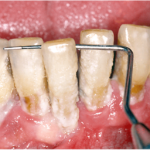
Gengivite e parodontite

Tra le affezioni del parodonto dobbiamo distinguere tra gengivite e parodontite.

La prima è un’infiammazione anche importante, con sanguinamento ma limitata alla gengiva e reversibile se controllata, mentre la seconda forma, la parodontite o piorrea, provoca una distruzione irreversibile dell’osso che circonda e sostiene il dente.

Causa comune a queste due patologie sono alcuni batteri assai patogeni (vedi tabella sottostante) che, uniti fra loro, danno origine alla placca batterica, placca che viene alimentata da una cattiva igiene orale. È quindi indispensabile rimuovere quotidianamente i depositi di placca cioè i batteri in essa contenuti.

La tecnica corretta per rimuovere i batteri patogeni e prevenire la piorrea

Ed allora, per rispondere alle domande iniziali, diciamo che la tecnica per una corretta igiene orale è quella che rimuove velocemente, completamente e con azione non lesiva la placca batterica.
E quindi, nella pratica, come effettuarla?

Batteri parodontopatici: la pericolosità va letta dall’alto al basso

La tecnica colorimetrica

Per essere sicuri di rimuovere completamente la placca batterica occorre prima di tutto visualizzarla tramite la tecnica colorimetrica.

Tecnica colorimetrica: il colore evidenzia i batteri presenti sui denti

È questa una tecnica universale, applicabile a tutti i pazienti, di semplice attuazione, utilizzabile con tutte le tecniche di spazzolamento, che è volta alla rimozione della placca batterica tramite la visualizzazione della stessa con un rivelatore di placca.

Solo e soltanto a questo punto saremo pronti all’utilizzo di alcuni presidi igenici.

Presidi igienici per una bocca sana

Se la nostra bocca è sana, tre sono i presidi igienici che useremo ovvero lo spazzolino per le superfici vestibolari e linguali, il filo interdentale, utilizzato a forma di C per le superfici interprossimali (fra un dente e l’altro) ed il Tip, o stimolatore gengivale, prevalentamente ma non solo, per il solco linguale dei molari e premolari inferiori.

Presidi per l’igiene orale

Il tip o stimolatore gengivale

Spendiamo qualche parola in più per questo splendido presidio igienico che scompagina la placca batterica in una zona, il solco gengivale, veramente difficile da pulire in maniera adeguata e senza ferire e danneggiare la gengiva.

Questo strumento ha poi una funzione essenziale di pulizia nelle forme iatrogene di recessioni gengivali (o dente allungato).

Tip o stimolatore gengivale ed interdentale

E se la bocca è ammalata?

Leggete l’articolo Come guarire dalla piorrea

Bibliografia:

  • V. Checchi, C. Montagno Cappuccinello, M. Montevecchi, L. Checchi
    Revisione della letteratura sull’utilizzo del rivelatore di placca nelle procedure di igiene orale
    Dental Cadmos, 2016; 84 (6), 342-350
  • L. Checchi, M. Franchi
    Igiene orale e terapia igienica
    Edizione Martina, 1998