L'epulide è una neoformazione, benigna nel 99% dei casi, rotondeggiante, non dolente, peduncolata, di origine infiammatoria, di consistenza molle parenchimatosa o dura fibrosa. Sembra trarre origine dal legamento parodontale e ha sede prevalente sulla gengiva dei settori anteriori, con frequente riscontro nel sesso femminile.È ovviamente sempre di grosso impatto estetico, specie nei soggetti di giovane …
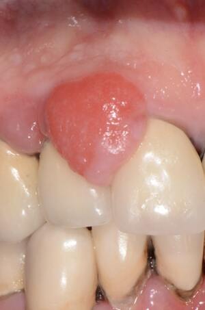
L’epulide è una neoformazione, benigna nel 99% dei casi, rotondeggiante, non dolente, peduncolata, di origine infiammatoria, di consistenza molle parenchimatosa o dura fibrosa. Sembra trarre origine dal legamento parodontale e ha sede prevalente sulla gengiva dei settori anteriori, con frequente riscontro nel sesso femminile.
È ovviamente sempre di grosso impatto estetico, specie nei soggetti di giovane o media età e si presenta soltanto in presenza di denti (fig. 1).
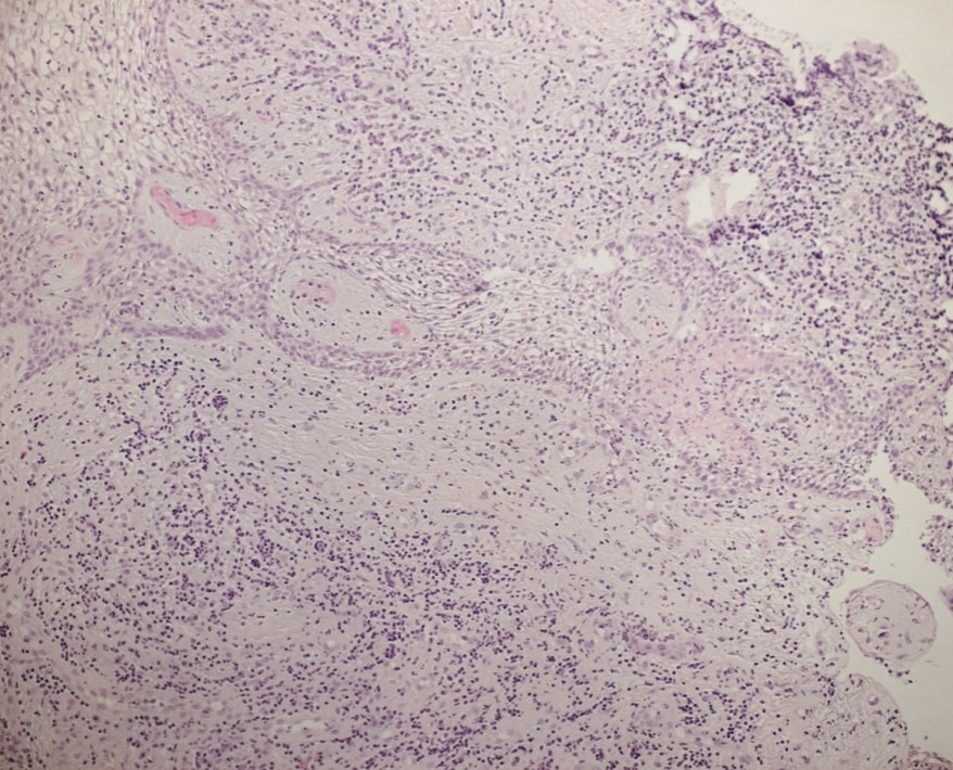
La diagnosi di epulide va confermata attraverso un esame istologico (fig. 2) al fine di differenziarla da altre patologie che possono simularla quali fibromi, angiomi, formazioni granulomatose o fibrocellulari o plasmacellulari.
La condizione orale che quasi sempre è associata all’epulide, vede una situazione igienica assai compromessa con presenza di placca batterica, tartaro ed una gengiva sanguinante con tasche parodontali profonde.
L’esame radiografico è spesso espressione di malattia parodontale in atto ma non evidenzia la neo formazione.


Igiene orale e terapia domiciliare
Una volta diagnosticata la patologia presente, la terapia deve sempre iniziare con accurate istruzioni di igiene orale e con una terapia igienica volta ad assottigliare e ridurre il volume dell’epulide, momento questo fondamentale per il successo della terapia chirurgica successiva.
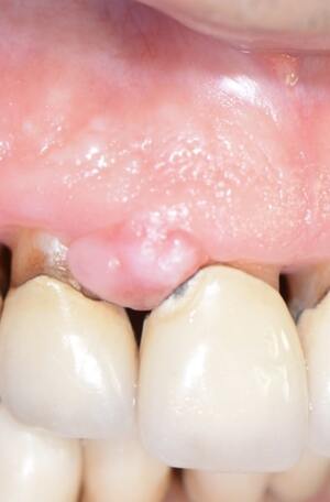
Tale terapia domiciliare va associata a terapia professionale (detartrasi ripetute associate a root planing) al fine di rimuovere tartaro, placca batterica, otturazioni debordanti, bordi protesici incongrui, e deve proseguire con diverse sedute spalmate in almeno 60 giorni al fine di dare tempo al paziente stesso di eseguire le istruzioni igieniche ricevute ed all’epulide di ridursi di volume (fig. 3).
Istologia e chirurgia parodontale
Solo allora e solo dopo aver ricevuto l’esito dell’esame istologico, andrà trattata chirurgicamente, sollevandola e riposizionandola su di un innesto connettivale prelevato dal palato del paziente stesso ed inserito sotto l’epulide. Nel giro di poche settimane l’epulide scomparirà, verrà mantenuta e migliorata la protezione gengivale estetica sulle radici dei denti contigui e si saranno evitati sia fenomeni di recessioni gengivali sia l’estrazione dei denti contigui (come veniva consigliato nei tempi passati).
Rimozione delle suture, controllo dei risultati e terapie di mantenimento saranno necessari al fine di mantenere nel tempo il risultato clinico ed estetico ottenuto.

Bibliografia:
- Montebugnoli L., Pelliccioni GA, Vaccaro MA
Epulide gigantocellulare
Odontostom. Implant. 5: 50-54, 1990 - Checchi L.
Epulide ed innesto bilaminare: alternative all’escissione
Dental Cadmos 1998; 8:11-4. - Checchi L, Marini I, Montevecchi M.
A technique to remove epulis: case reports
Int J Periodontics Restorative Dent 2004; 24:470-5. - Paris Tamiolakis et all.
Localised gingival enlargements. A clinicopathological study of 1187 cases
Oral Medicine and Oral Pathology. 2018, I, 23, 320-5. - Checchi V., Masi I., Checchi L.
L’innesto connettivale nel trattamento chirurgico dell’epulide: caso clinico
Dental Cadmos, 2019, 2, 102-108






