Il primo obbiettivo della terapia parodontale è quello di conservare, ripristinare o ricreare, mediante una terapia minimale, un'anatomia dove denti e tessuti permangono e/o ritornano in una corretta funzionalità, salute ed estetica. Terapia causale: procedure di scaling e root planing Sotto questa visuale, le procedure di scaling (rimozione del tartaro e della placca batterica) e …
Il primo obbiettivo della terapia parodontale è quello di conservare, ripristinare o ricreare, mediante una terapia minimale, un’anatomia dove denti e tessuti permangono e/o ritornano in una corretta funzionalità, salute ed estetica.
Terapia causale: procedure di scaling e root planing
Sotto questa visuale, le procedure di scaling (rimozione del tartaro e della placca batterica) e root planing (levigatura della superficie radicolare dalla quale è stato rimosso il tartaro) vengono ad assumere una grande e fondamentale importanza quale primo e spesso definitivo approccio terapeutico nella eliminazione della placca – agente eziologico della malattia parodontale – e tartaro (o calcolo dentale), cofattore eziologico della malattia stessa.
Per il successo finale di questa terapia è comunque necessario ed obbligatorio riuscire a rimuovere completamente la placca dentale (e questo normalmente non è difficile se viene utilizzata la tecnica colorimetrica) ed il tartaro, compresa quella porzione di cemento – definito necrotico – che vi si trova sotto.
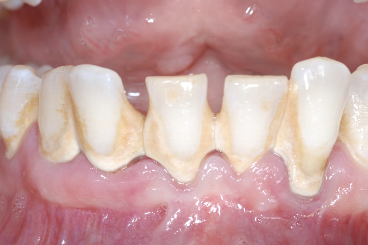
Si definisce quindi scaling quella procedura di base con la quale il tartaro viene rimosso dalla superficie dentaria. A sua volta poi si parla di scaling sopra-gengivale quando la terapia si esplica su tartaro visibile situato al di sopra della gengiva (vedi figura 1), oppure viene definito sub-gengivale quando si esplica su tartaro che è nascosto sotto la gengiva.

Root planing
Il root planing invece è quella procedura con la quale viene realizzata una levigatura della superficie radicolare asportando il tartaro residuo e quel cemento che è stato contaminato dal tartaro stesso. Questa fase assume una particolare importanza in quanto la corretta levigatura della radice del dente (accertata con uno strumento, lo specillo ,molto sottile ed appuntito) è l’unico ausilio clinico utile a conoscere se il tartaro sia stato completamente rimosso assieme al cemento necrotico sottostante, con conseguente eliminazione degli stimoli infiammatori sul parodonto circostante.
Appare quindi necessario possedere una buona manualità da parte dell’operatore, sia esso dentista parodontologo o igienista dentale, associata ad una profonda conoscenza della strumentazione in uso ma anche specialmente delle caratteristiche anatomiche dei tessuti molli e duri su cui si va ad operare.
Infatti la ricerca scientifica ha dimostrato quanto sia facile lasciare del tartaro residuo sulla superficie radicolare a seguito di strumentazione e che l’efficienza media di un buon operatore nell’asportare completamente il tartaro ed il cemento necrotico sia limitata ai soli primi 4 mm circa sottogengiva.
Questa limitazione è in massima parte spiegabile per il fatto che lo scaling ed il root planing si effettuano a “cielo coperto”, cioè sotto la gengiva e senza alcun tipo di tagli o incisione. Se a questo poi si aggiungono le difficoltà date dalla anatomia dentale delle aree in esame (ad es: posizione del dente, presenza di forcazioni e di concavità), si può capire la complessità di tali procedure che richiedono una preparazione specifica e clinica dell’operatore, sia esso igienista dentale, odontoiatra o parodontologo, associata ad un impegno rigoroso da parte del paziente sia nella igiene orale (da leggere: Igiene orale: cosa utilizzare) ma specialmente nell’esplicare una intensa e meticolosa terapia igienica domiciliare (per approfondire: Il massaggio gengivale).
Terapia causale: conclusioni
Solo così operando si riuscirà a raggiungere una guarigione ottimale e stabile nel tempo riportando in salute i tessuti parodontali e gli elementi dentari presenti. Estetica, salute, igiene domiciliare, igiene professionale sono quindi i pilastri per una salute orale recuperata e mantenuta.
Bibliografia
- V. Checchi, C. Montagno Cappuccinello, M. Montevecchi, L. Checchi
Revisione della letteratura sull’utilizzo del rivelatore di placca nelle procedure di igiene orale
Dental Cadmos, 2016; 84 (6), 342-350 - Checchi L., Gatto M. R., Checchi V., Carinci F.
Bacteria prevalence in a large Italian population sample: a clinical and microbiological study
Journal of Biological Regulators & Homeostatic Agents, 2016, Vol 30, n. 2, 199-208 - O. Bahat, L. Checchi
La terapia iniziale nel trattamento parodontale
Mondo Odontostomatologico 2/83, pag. 33-38 - G. Biagini, L. Checchi, M. C. Miccoli, V. Vasi, C. Castaldini
Root Curettage and Gingival Repair in Periodontitis
J. Periodontol. 2/88, vol. 59, pag. 124-129 - L. Checchi, G. A. Pelliccioni
Hand Versus Ultrasonic Instrumentation in the Removal of Endotoxins from Root Surfaces in Vitro
J. Periodontol. 6/88, pag. 398-402 - L. Checchi, C. D’Achille, A. Montella
Dossier: Il tartaro e la malattia parodontale
Dental Cadmos 8: 80-95; 1991 - Bernard Wasserman – revisione scientifica a cura di L. Checchi
Detartrasi e Levigatura Radicolare
Resch Editrice 1988






