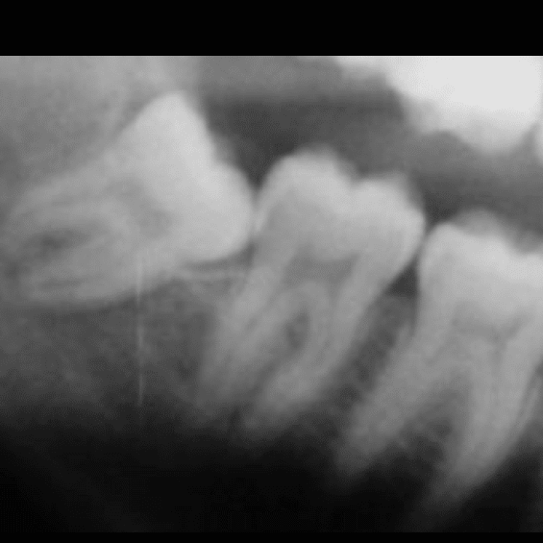
Tra le numerose possibili complicanze post-estrattive del terzo molare inferiore, la parestesia del nervo alveolare inferiore, sia essa …
Tra le numerose possibili complicanze post-estrattive del terzo molare inferiore, la parestesia del nervo alveolare inferiore, sia essa …
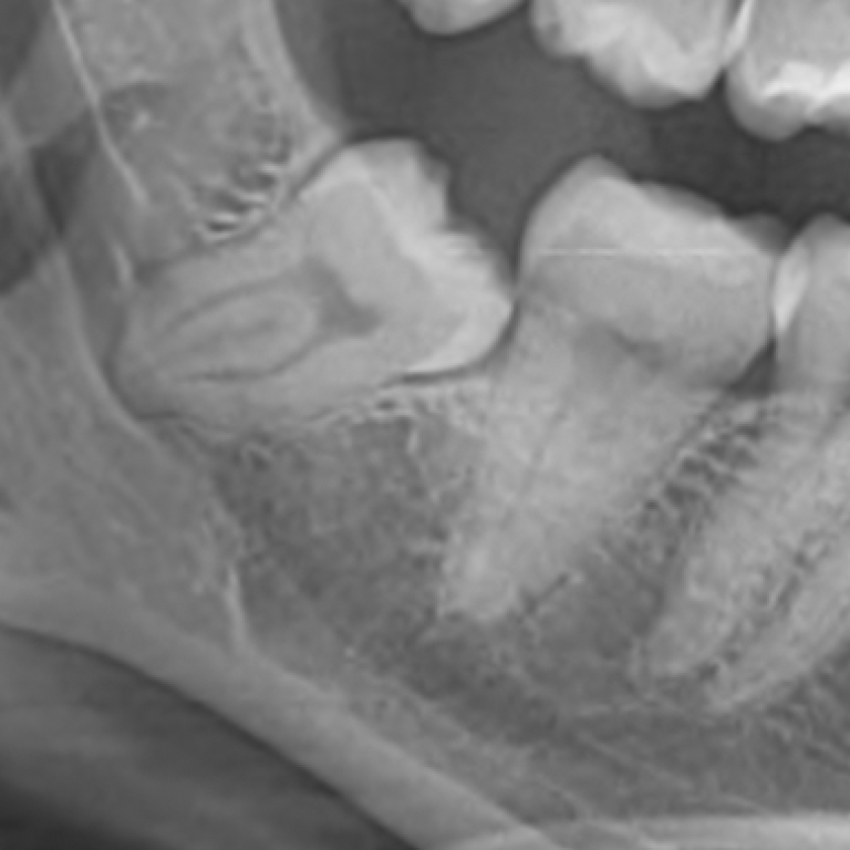
[Immagine di un dente del giudizio in contiguità con il canale mandibolare] La lesione del nervo alveolare inferiore …
La disodontiasi è un fenomeno doloroso associato ad un'alterazione del normale processo eruttivo dei denti. Gli elementi dentari …
L'eziologia e la frequenza di inclusione del terzo molare inferiore sono state nel recente passato oggetto di attenzione …
Che cosa è la parestesia e come può un dente del giudizio causare una alterazione neurosensoriale? Per parestesia …