Che cosa è la parestesia e come può un dente del giudizio causare una alterazione neurosensoriale? Per parestesia si intende una alterazione della sensibilità di un arto o di altre parti del corpo, come la mandibola inferiore, alterazione che viene descritta come un "formicolio alle labbra", "insensibilità al labbro inferiore", "mi mordo ma non sento …
Che cosa è la parestesia e come può un dente del giudizio causare una alterazione neurosensoriale?
Per parestesia si intende una alterazione della sensibilità di un arto o di altre parti del corpo, come la mandibola inferiore, alterazione che viene descritta come un “formicolio alle labbra”, “insensibilità al labbro inferiore”, “mi mordo ma non sento male al labbro inferiore”, “mi pizzica il labbro inferiore e sento bruciore”, “mi dà fastidio toccarmi il labbro”, “sento le labbra addormentate”, situazioni queste che portano il paziente a focalizzarsi su tale problema con conseguente ansia, depressione e disturbi della personalità.
Il dente del giudizio a contatto con il nervo mandibolare può essere la causa di tutto questo?
Il responsabile il più delle volte è il dente del giudizio o terzo molare inferiore che quando è infiammato , dolorante e profondamente incluso può essere a contatto con il nervo alveolare inferiore, nervo che è contenuto nel canale mandibolare e che, se violato o leso durante l’estrazione del dente, può esitare in “parestesia post estrazione del dente del giudizio”.
Dente del giudizio inferiore a contatto col nervo mandibolare: quali rischi comporta l’estrazione?
L’inclusione dei denti del giudizio inferiori è un reperto clinico assai frequente con valori mediamente alti pari al 21% e tale fenomeno è stato oggetto di attenzione da parte della comunità scientifica per le tante problematiche cliniche correlate ad una eventuale estrazione.
Il terzo molare inferiore generalmente tende ad erompere all’età di vent’anni, con un percorso eruttivo molto variabile e dipendente prevalentemente da quattro circostanze:
- la mancanza di spazio
- l’impedimento al normale processo eruttivo dovuto a cisti o tumori
- una mineralizzazione tardiva
- la sua inclinazione che si esprime in tre diversi processi eruttivi: inclusione normale, inclusione mesiale o in avanti ed inclusione orizzontale.
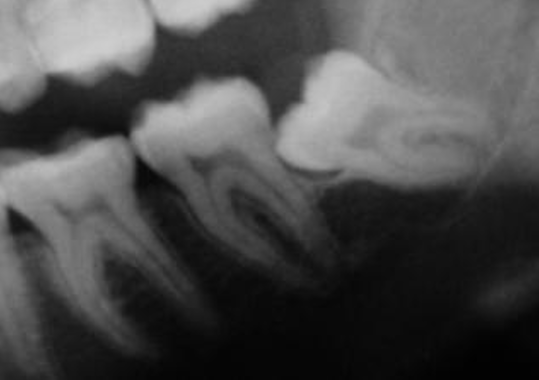
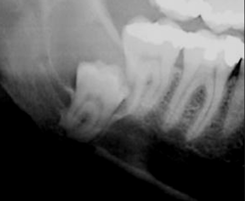
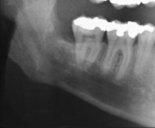
Va fatto rilevare che questi processi eruttivi avvengono in un’area dove è presente una struttura nervosa assai importante denominata nervo mandibolare. Gli impedimenti sopra descritti possono portare ad una stretta vicinanza delle radici del dente del giudizio inferiore con il canale mandibolare e quindi con il nervo alveolare inferiore che è in esso contenuto.
Parestesia al nervo alveolare inferiore
Negli anni 1997 e ’98 nel reparto di Chirurgia Speciale Odontostomatologica da me diretto all’Università degli Studi di Bologna su 262 pazienti deputati ad estrazione del dente del giudizio inferiore, abbiamo rilevato dalla ortopantomografia (OPT) 37 casi dubbi e di questi l’esame Tac, successivamente effettuato, ha dimostrato un effettivo coinvolgimento delle radici del dente con il nervo mandibolare in 31 pazienti, cioè nell’84% dei casi.
Se ne deduce che l’estrazione di tale dente può comportare un rischio di lesioni al nervo mandibolare che può essere temporanea ma purtroppo anche permanente.
Esami radiografici quali, lastre endorali, OPT e Tac sono richiesti al fine di valutare la difficoltà ed il rischio estrattivo.
Per approfondire l’argomento Vi consiglio di guardare il video:
Rischi di parestesia a seguito di estrazione del dente del giudizio
La soluzione: l’Ortodonzia Estrattiva!
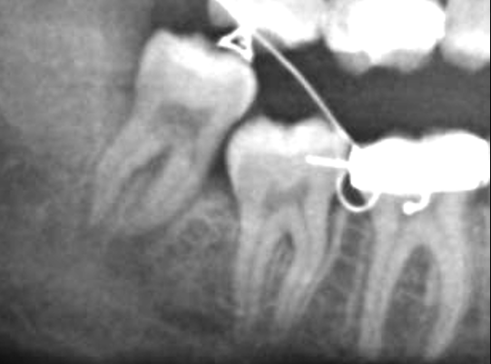
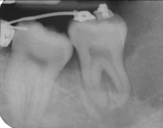
La soluzione in questi casi non deve essere l’estrazione, che inevitabilmente andrebbe a ledere l’integrità del canale mandibolare con probabile parestesia, ma la disinclusione ortodontica del terzo molare inferiore, tecnica questa da me denominata nel 1996 “Ortodonzia Estrattiva“.
È questa una tecnica innovativa (anche se studiata, descritta ed applicata fin dal lontano agosto del 1996), poco conosciuta al pubblico e fra i colleghi odontoiatri, ma estremamente sicura ed efficace che permette a tutti quei denti che sono a contatto con il nervo alveolare inferiore, prevalentemente denti del giudizio, di allontanare con tecnica ortodontica, il terzo molare inferiore dal nervo mandibolare e di estrarlo poi in sicurezza senza ledere quest’ultimo.
In dettaglio, si tratta di una tecnica combinata tramite la quale sul dente viene affogato un gancetto e sollevato lentamente verso l’alto (quasi fosse una canna da pesca) con una tecnica ortodontica, allontanando il dente dal canale mandibolare. Solo allora il chirurgo potrà intervenire estraendo in piena sicurezza quel dente già mobile e lontano dal nervo mandibolare.
L'”intelligenza” di tale procedura è che, oltre alla estrazione in tranquillità ed in sicurezza neurologica del dente del giudizio, l’estrusione dello stesso comporta un riempimento di osso naturale vicino (distalmente) al secondo molare e quindi senza quei fenomeni di dolore – sensibilità al dente stesso che accompagnano l’estrazione classica del dente del giudizio.
I pregi dell’Ortodonzia Estrattiva
Concludendo, questa tecnica è una procedura sicura, gode di più di 20 anni di applicazione e non ha mai, e dico mai, prodotto danni neurologici contro l’1% di lesioni permanenti e il 5-7% di lesioni non permanenti causate dalle tecniche estrattive tradizionali.
È efficace nell’allontanare l’apice del terzo molare dal canale mandibolare e nel creare nuovo osso al dente vicino o secondo molare, rendendo molto più semplice l’estrazione del dente del giudizio e con un basso rischio di complicanze post-estrattive






L’Ortodonzia Estrattiva trasforma quindi un’estrazione complessa in una molto ma molto più semplice con un basso rischio di complicanze post-estrattive e senza il rischio di parestesie.
È una tecnica sicura, applicata da tanti anni, che non causa lesioni neurologiche, allontanando lentamente l’apice radicolare dal canale mandibolare e creando nuovo osso.
Nelle situazioni quindi che ho descritto quando un dente del giudizio vi fa male ed è profondamente incluso fate attenzione al percorso terapeutico che vi viene proposto privilegiando sempre quella tecnica che sia non solo efficace ma specialmente sicura.
Bibliografia:
- L. Checchi, G. Alessandri Bonetti, G. A. Pelliccioni
Removal of high risk impacted mandibular third molars utilizing a combined surgical-orthodontic approach
Journal of American Dental Association 127(8); 1996 - L. Checchi, G. Monaco
Terzi molari inclusi. Soluzioni terapeutiche
Edizione Martina, Bologna, 2001 - C. Marchetti, G. Alessandri Bonetti, F. Pieri, L. Checchi
Orthodontic extraction: conservative treatment of impacted mandibular third molar associated with a dentigerous cyst. A case report
Quintessence International, vol. 35, num 5, 2004; pagg. 371-374 - G. Alessandri Bonetti, S. Incerti Parenti, L. Checchi
Orthodontic extraction of mandibular third molar to avoid nerve injury and promote periodontal healing
Journal of Clinical Periodontology 2008, pagg 1-5






