Modelli-in-gesso-sui-quali-vengono-prodotte-le-mascherine-personalizzate-2

Attualmente lo sbiancamento è uno dei ​​trattamenti estetici più richiesti in campo odontoiatrico. Si tratta di una procedura atraumatica e non invasiva che rende più chiaro e lucente l'aspetto esterno del dente, rimuovendo tutti i pigmenti che nel tempo si sono accumulati. L'obbiettivo è ottenere un elemento dentario bello, più bianco e più luminoso. Lo …

Prof. Luigi Checchi
Prof. Luigi Checchi

Medico chirurgo. Professore ordinario F.R. di Parodontologia ed Implantologia, Alma Mater Studiorum - Università di Bologna. Laureato in Medicina e Chirurgia, specializzato in Odontoiatria e Protesi Dentaria, ha conseguito la specializzazione in Parodontologia presso la University of Southern California di Los Angeles. E' autore di numerose pubblicazioni in lingua italiana ed inglese.

Share:

Attualmente lo sbiancamento è uno dei ​​trattamenti estetici più richiesti in campo odontoiatrico. Si tratta di una procedura atraumatica e non invasiva che rende più chiaro e lucente l’aspetto esterno del dente, rimuovendo tutti i pigmenti che nel tempo si sono accumulati.

L’obbiettivo è ottenere un elemento dentario bello, più bianco e più luminoso.

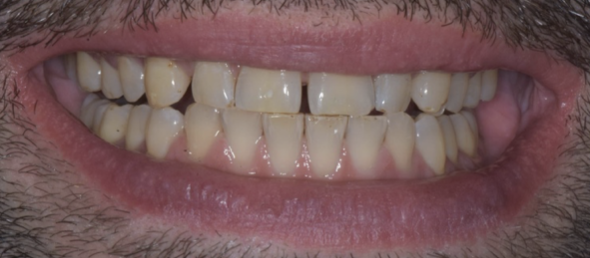
sbiancamento denti prima
Denti prima dello sbiancamento professionale
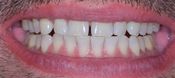
sbiancamento denti dopo
Denti dopo lo sbiancamento professionale

Lo smalto

Lo smalto è un tessuto altamente mineralizzato che copre la parte esterna della corona del dente. Sebbene appaia compatto e dia l’impressione di essere impermeabile e molto resistente, nel tempo può subire dei cambiamenti negativi (perdita di smalto) come la carie e l’erosione oppure positivi come la remineralizzazione.

Qual è il colore di base del dente?

L’idrossiapatite (componente principale dello smalto) in origine è trasparente/bianca. Di conseguenza, lo smalto ha un colore bianco con un certo grado di traslucenza, a seconda della quale può trasparire il colore della sottostante dentina (giallo-marrone). Il colore di base dei denti è determinato quindi principalmente dalla dentina, ma è influenzato anche dal colore, dalla traslucenza e dai vari gradi di calcificazione dello smalto, nonché dal suo spessore. Quindi, il colore di un dente è la risultanza dal passaggio e dalla riflessione della luce attraverso vari strati.

Pigmentazioni

Due sono le tipologie di pigmentazione che possono essere rilevate in una dentizione:

  • pigmentazioni intrinseche che sono localizzate all’interno del dente. Si verificano a seguito di una modifica della composizione strutturale o dello spessore dei tessuti duri durante lo sviluppo del dente e possono avere differenti cause (ereditarie, traumatiche, metaboliche). Oltre a smalto e dentina, anche la polpa dentaria può essere interessata da pigmentazioni che possono creare inestetismi. In seguito ad un trauma, ad esempio, la necrosi della polpa e quindi la morte del dente, comporta un accumulo di prodotti emorragici scuri (emoglobina ed ematina) che creano pigmentazione
  • pigmentazioni estrinseche avvengono invece mediante l’incorporazione di cromofori nello strato esterno dello smalto e possono essere attribuibili a fattori ambientali quali:
    • alimenti
    • bevande
    • fumo
    • farmaci
    • eccessivo uso di clorexidina
    • persistenza di accumulo batterico.

Lucidatura dei denti

Le pigmentazioni più superficiali possono essere rimosse con una semplice lucidatura professionale (polishing), ovvero una procedura ambulatoriale che si effettua con uno spazzolino o una coppetta di gomma ed una pasta da profilassi con un’abrasività controllata. Questa procedura di “smacchiatura” non riesce però ad agire negli strati più profondi del dente. Per questo motivo, dopo un’attenta analisi atta ad individuare l’origine delle pigmentazioni (poiché il trattamento differisce in base all’eziologia), la lucidatura può essere seguita da una (o più) procedura di sbiancamento al fine di riportare il dente ad una colorazione più chiara e lucente.

Sbiancamento professionale

Premesso che ogni sbiancamento deve essere preceduto da una pulizia accurata della bocca o detartrasi, i moderni sistemi di sbiancamento si basano principalmente sul perossido di idrogeno o su uno dei suoi precursori, in particolare il perossido di carbammide.

Ci sono due differenti tipologie di sbiancamento dentale: quello domiciliare e quello professionale eseguito in ambulatorio.

Il trattamento domiciliare si effettua inserendo il gel sbiancante (di norma perossido di carbammide al 10-16%) in una sottile mascherina di plastica trasparente personalizzata (creata specificamente dall’odontoiatra per la dentatura di ogni paziente) e lo si lascia agire per tutta la notte. In questo caso manca il controllo dell’odontoiatra.

Il trattamento professionale invece, eseguito dall’odontoiatra o dall’igienista, si basa sull’utilizzo di perossido di idrogeno ad alta concentrazione (tra il 30 e il 50%) che viene applicato in ambulatorio dall’igienista dentale o dall’odontoiatra, per circa 60 minuti previa applicazione di una protezione (diga) gengivale, che isola e proteggere da eventuali stravasi sulla gengiva della sostanza sbiancante.

Per potenziare al massimo l’effetto sbiancante, il trattamento professionale può essere poi seguito nei successivi 6-7 giorni da un trattamento domiciliare, similare a quello precedentemente descritto, e cioè inserendo in speciali mascherine preparate specificatamente dall’odontoiatra sulla base dell’anatomia della bocca del paziente alcune gocce di un gel sbiancante.

Modelli in gesso sui quali vengono prodotte le mascherine personalizzate.
Esempio di mascherina personalizzata per lo sbiancamento domiciliare

Quanto dura l’effetto dello sbiancamento?

Dipende delle abitudini alimentari e comportamentali del paziente. In caso di giornaliera assunzione di cibi pigmentanti (caffè, tè, vino rosso, liquerizia, frutti rossi, carciofi, ecc) il risultato raggiunto si mantiene mediamente per circa 6 mesi. Dopo questo primo periodo i denti tendono a pigmentarsi nuovamente.

Tutti i denti possono essere sbiancati?

Non tutti i denti posso essere efficacemente sbiancati. Se il dente presenta dei severi difetti dello smalto (ad es. macchie da tetracicline), otturazioni, protesi o recessioni del margine gengivale con esposizione della radice, lo sbiancamento non sarà efficace in modo omogeneo e quindi il risultato estetico finale potrebbe non essere completamente soddisfacente. In questi casi, una soluzione per poter rendere il dente più chiaro, bello e di coloro omogeneo rispetto ai denti vicini, potrebbe essere un intervento conservativo (ricostruzioni estetiche in resina composita) o protesico (faccette dentali o corone).

Sbiancamento dentale a casa con i prodotti da banco: fate attenzione

Il mercato dei prodotti reperibili in farmacia o al super-mercato è molto vasto e in rapido cambiamento. Il principale limite di tali prodotti è la scarsa permanenza in bocca, generalmente nell’ordine di qualche minuto. Per questo, i differenti principi attivi utilizzati, difficilmente riescono a penetrare e permanere all’interno dello smalto. Pertanto, è molto frequente trovare in questi l’aggiunta di un componente abrasivo che ha la funzione di “smacchiare” il dente, rimuovendo i pigmenti superficiali e rendendolo apparentemente più bianco. Tuttavia, l’uso di questi prodotti può portare ad una perdita irreversibile del tessuto duro dentale (smalto e successivamente dentina) e ad una irritazione dei tessuti gengivali che può progredire in recessione.

Qualora si voglia migliorare il bianco e la luminosità del proprio sorriso, è consigliabile chiedere indicazioni al proprio odontoiatra o igienista dentale di fiducia prima di comprare e utilizzare qualsiasi prodotto.

Conlusioni:

Lo sbiancamento dentale è una procedura di estremo interesse che ha l’obbiettivo di rendere esteticamente migliore la nostra dentizione. La tipologia di intervento e i prodotti da usare vanno scelti con attenzione e sotto l’attento controllo dell’odontoiatra e/o dell’igienista.

Luigi Prof. Checchi e Leoluca Dott. Valeriani

Bibliografia:

  • Andrew Joiner, Wen Luo.
    Tooth colour and whiteness: A review.
    Journal of Dentistry, Vol. 67 (2017) S3-S10
  • Leonard RH Jr.
    Long-term treatment results with nightguard vital bleaching.
    Compend Contin Educ Dent, Vol. 24 (2003) 364–374
  • Pretty IA, Ellwood P, Aminian A.
    Vital tooth bleaching in dental practice: 1. Professional bleaching.
    Dent Update, Vol. 33 (2006) 288–304.
  • Munther A.M. Sulieman.
    An overview of tooth-bleaching techniques: chemistry, safety and efficacy.
    Periodontology 2000, Vol. 48 (2008) 148–169
  • Dahl JE, Pallesen U.
    Tooth bleaching – a critical review of the biological aspects.
    Crit Rev Oral Biol Med, Vol. 14 (2003) 292–304.