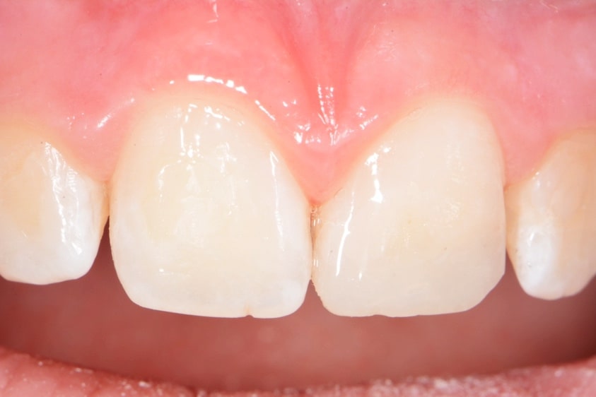
Frattura coronale

Si definisce trauma dentale ogni "incidente" che provochi un danno funzionale ed estetico a livello del "complesso dentale". Immagine: Frattura coronale senza esposizione della polpa. Traumi dentali Il trauma può interessare quattro comparti: il dente (nei suoi tessuti duri e nella polpa), il parodonto, l'osso alveolare di supporto al dente o la mucosa orale.Esistono diversi …

Prof. Luigi Checchi
Prof. Luigi Checchi

Medico chirurgo. Professore ordinario F.R. di Parodontologia ed Implantologia, Alma Mater Studiorum - Università di Bologna. Laureato in Medicina e Chirurgia, specializzato in Odontoiatria e Protesi Dentaria, ha conseguito la specializzazione in Parodontologia presso la University of Southern California di Los Angeles. E' autore di numerose pubblicazioni in lingua italiana ed inglese.

Share:

Si definisce trauma dentale ogni “incidente” che provochi un danno funzionale ed estetico a livello del “complesso dentale”.

Immagine: Frattura coronale senza esposizione della polpa.

Traumi dentali

Il trauma può interessare quattro comparti: il dente (nei suoi tessuti duri e nella polpa), il parodonto, l’osso alveolare di supporto al dente o la mucosa orale.
Esistono diversi traumi che possono interessare i nostri denti, ognuno di essi con cause e manifestazioni cliniche differenti.

Si va dalla concussione all’estrusione, dalla lussazione all’intrusione, fino all’avulsione completa o alla frattura, che può avvenire a diversi livelli del dente (corona o radice).
In questo articolo verrà trattato nello specifico il trauma che porta alla frattura della corona del dente.

La frattura dentale

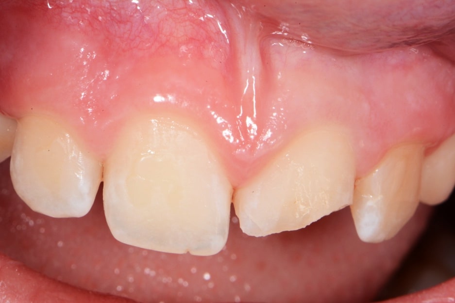
Le fratture del dente possono assumere varie e differenti forme, dalla semplice incrinatura dello smalto alla frattura coronale con (Fig. 1) o senza (Fig. 2) esposizione pulpare, alla frattura con interessamento corono-radicolare argomento questo che però non sarà oggetto del nostro intervento.

Le localizzazioni più frequenti sono quelle a carico degli incisivi superiori centrali, seguiti dei laterali e quindi degli incisivi inferiori centrali, mentre la frequenza dei traumi nei settori laterali è assai bassa.

Frattura coronale con esposizione della polpa.

Come curare il paziente traumatizzato?

Anamnesi, esame obbiettivo e strumentale, esame radiografico: sono queste le tre fasi fondamentali che vanno correttamente eseguite.

L’anamnesi, indispensabile per conoscere le dinamiche di quanto accaduto, avviene mediante domande al diretto interessato o ai familiari o ai testimoni, verificando poi con l’esame obbiettivo, prima extra orale poi intra-orale, che cosa sia accaduto, dove il trauma si sia sviluppato e quali strutture anatomiche siano state interessate.

L’esame radiografico deve completare l’analisi obbiettivo-strumentale confermando o meno la diagnosi che è stata ipotizzata… frattura? Di che grado? Lussazione? Intrusione? Corpi estranei nei tessuti molli? Interessamento radicolare?

A seguire, l’area va disinfettata, pulita da eventuali corpi estranei, e riesaminata utilizzando anche test quali la percussione, il test termico, quello elettrico, il test della mobilità, la trans-illuminazione, il sondaggio se non dolente.

Quali sono i sintomi del dente fratturato?

In caso di frattura dentale la sintomatologia può essere varia e a volte anche poco specifica. In caso di frattura della corona vi è solitamente una iper-sensibilità riscontrata a seguito di contatto con sostanze fredde o calde. Nel caso in cui la frattura sia più profonda, come nel caso in cui vi sia il coinvolgimento anche della radice del dente, il sintomo più caratteristico è il dolore alla masticazione o alla compressione. A seguito di frattura infine, se non correttamente e tempestivamente diagnosticata, può insorgere anche un gonfiore dei tessuti gengivali attorno al dente in questione.

Frattura dentale: terapia

Due sono le situazioni cliniche che si possono riscontrare più comunemente nell’ambulatorio odontoiatrico: l’infrazione dello smalto, più difficile da notare se non utilizzando una tecnica denominata trans-illuminazione con luce UV, e le fratture dello smalto o della dentina in forme più o meno gravi, sia come estensione sia come interessamento pulpare (quest’ultime chiamate fratture complicate).

Le infrazioni dello smalto vanno monitorate dal dentista e fatte controllare dal paziente in quanto possono evolvere in microfratture con problematiche estetiche e di ipersensibilità dentinale.
In questi casi, oltre ad un semplice controllo non seguito da alcuna terapia, può, in casi selezionati, essere utilizzata della resina adesiva fluida che permetterà di ottenere un buon sigillo della lesione.

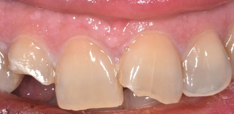
Le fratture semplici o non complicate prevedono un rimodellamento del dente mediante strumenti rotanti o una ricostruzione con materiale composito (Fig. 3).

Ricotruzione resina denti frattura coronale 3a
Ricostruzione in resina composita di due denti con frattura coronale.

A volte esiste un’altra alternativa: il riattacco del frammento dentale fratturato, specie se è stato ben conservato e se congruente con la corona residua.

Il frammento del dente fratturato in seguito a trauma va conservato in soluzione acquosa (fisiologica, latte o saliva) e, come in caso di avulsione, il reincollaggio andrebbe eseguito entro le due ore dalla frattura.

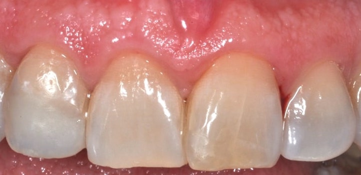
Nelle fratture complicate con interessamento pulpare occorre in via preliminare eseguire una pulpectomia o devitalizzazione, seguita da una ricostruzione coronale eseguita in maniera diretta con composito (Fig. 4) o indirettamente mediante faccetta o corona in ceramica, a seconda della grandezza della frattura.

Ricostruzione in resina composita di un incisivo centrale superiore sinistro fratturato.

Trauma dentale: controlli ed evoluzione

Il traumatismo dentale è un evento infausto che causa un danno di varia entità che va prontamente affrontato, diagnosticato e curato.

Va comunque sempre ribadita la necessità di effettuare periodicamente ulteriori controlli al fine di valutare l’evoluzione del trauma e della guarigione e lo stato delle ricostruzioni eseguite.

Il trauma dentale nel bambino

Come è facilmente intuibile, i bambini sono spesso e volentieri soggetti a traumatismo dentale. Le indicazioni e la diagnosi sono sostanzialmente simili ai traumi dei pazienti adulti nel caso in cui il dente soggetto a trauma fosse un dente permanente. Se invece l’episodio traumatico dovesse occorrere ad un dente deciduo (“da latte”), il rischio maggiore è il danno del dente permanente che si sta formando al di sotto dei quello da latte. In questo caso, l’intervento deve essere mirato a ridurre al minimo le possibili complicanze sul dente definitivo. Bisognerà procedere quindi semplicemente, se necessario, a lucidare eventuali bordi taglienti per evitare tagli del labbro e della lingua e si dovranno programmare controlli periodici per essere sicuri che il dentino non si scurisca (necrosi tardiva) e non compaia una bollicina sulla mucosa sovrastante il dente (fistola).

In caso di necrosi si interviene con le terapie odontoiatriche opportune o con l’estrazione del dente deciduo.

Bibliografia

  • Ministero della salute
    Linee guida nazionali per la prevenzione e la gestione clinica dei traumi
  • dentali negli individui in età evolutiva
    Febbraio, 2018
  • Glendor U.
    Aetiology and risk factors related to traumatic dental injuries – a review of the literature.
    Dental Traumatology, 2009; 25:19–31.
  • L. Mazzuchelli, M. Scarpelli
    I traumi dentali: aspetti clinici e medico legali
    Edizioni Sinergie, 2007
  • L. Checchi
    Fratture radicolari
    Masson, 1999
  • F.M. Andreasen, J.O. Andreasen.
    Diagnosis of luxation injuries: the importance of standardized clinical, radiographic and photographic techniques in clinical investigations.
    Endod Dent Traumatol 1985;5:160-169.
  • L.K. Bakland, J.O. Andreasen.
    Examination of the dentally traumatized patient.
    Calif Dent Ass J 1996;24:35-44.