Parlare di gengive sane implica il necessario coinvolgimento degli elementi dentari in quanto la gengiva è quel tessuto parodontale che circonda e protegge il dente donandogli armoniosità ed eleganza. Come appaiono le gengive sane e le gengive infiammate La gengiva sana è di colore rosa pallido uniforme con spessore consistente che si estende armoniosamente e …
Parlare di gengive sane implica il necessario coinvolgimento degli elementi dentari in quanto la gengiva è quel tessuto parodontale che circonda e protegge il dente donandogli armoniosità ed eleganza.
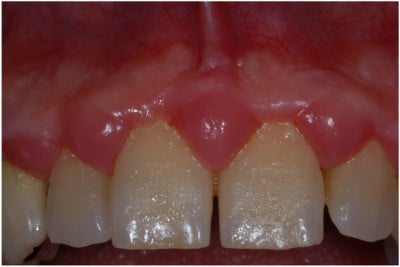
Come appaiono le gengive sane e le gengive infiammate
La gengiva sana è di colore rosa pallido uniforme con spessore consistente che si estende armoniosamente e a forma di lama di coltello attorno agli elementi dentari insinuandosi fra questi con papille appuntite di forma piramidale.
In presenza di placca batterica, presenza indotta e causata da un non corretto spazzolamento, avviene un’alterazione funzionale ed estetica sia nel colore che nell’aspetto e forma della gengiva, specie quella marginale attorno ai denti. In altre parole, ha luogo un’infiammazione, che spesso porta dolore alle gengive.
La gengiva passa inizialmente ad un colore rossiccio poi rosso vivo, acceso, cambiando il suo profilo marginale di lama di coltello a quello di rullo aumentando di volume (gengiva gonfia) e diventando edematosa ed iperemica, sensibilissima al sanguinamento.
Come curare le gengive infiammate
Le papille in questa fase appaiono rigonfie, debordano dallo spazio interdentale e alla pressione presentano un fluido biancastro denominato essudato.
I denti in questa fase cambiano di colore, da bianco a giallo marrone, ricoprendosi di materia alba e placca batterica, perdono la loro luminosità contribuendo all’inestetismo orale.
Ed ecco che il paziente, spaventato dal sintomo del sanguinamento che richiederebbe uno spazzolamento più preciso e più duraturo, si affida ai soli collutori per gengive infiammate e sospende o attenua le tecniche di igiene orale.

Come mantenere le gengive sane. Esiste una cura per la gengivite? Qual è quella migliore per le gengive infiammate?
Bisogna con la mente ritornare a quel primo momento allorquando i batteri si sono adesi alla superficie dentale e si sono organizzati come placca batterica. E quella fase va evitata o eliminata con un’igiene orale domiciliare corretta e coadiuvata da una soluzione rossa (tecnica colorimetrica) che metta in evidenza, colorandoli, i batteri, e contemporaneamente da una profilassi, sempre meccanica, professionale (detartrasi).
Da evitare la terapia antibiotica che funziona sì ma solo e soltanto per un periodo estremamente limitato pari a 30-40 giorni, in quanto i batteri sintetizzano materiali che li proteggono dall’attacco delle sostanze farmacologiche e anche dalle difese immunitarie stesse.
Cosa fare quando hai gengive infiammate
Da un punto di vista scientifico la fase della gengivite presenta dei batteri che si chiamano cocchi e bastoncelli, gran positivi e gran negativi.
Le tecniche e le metodiche di igiene orale domiciliare e professionale sono quindi in grado di rimuovere la placca batterica sopragengivale e costituiscono non solo una valida cura per la risoluzione della gengivite ma risultano anche il miglior sistema di prevenzione orale, contribuendo da un lato a mantenere in salute la gengiva e il parodonto tutto e dall’altro ad allontanare la carie dagli elementi dentali.


Gengive sane anche grazie al fluoro: il video
Bibliografia:
- Checchi L. Franchi M.,
Igiene orale e terapia igienica
Edizione Martina, 1998 - Gatto M., Montevecchi M., Paolucci M., Landini M.P., Checchi L.,
Prevalence of six periodontal pathogens in subgingival sumples of Italian patients with cronic periodontitis
New microbiologica, 37, 517, 2014 - Loe H., Theilade E., Jensen S.B.,
Experimental gingivitis in man
J. Periodontology 36:177, 1965 - Bartolucci E. Checchi L.
Il ruolo dei batteri e della risposta immunitaria nella malattia parodontale
Dental Cadmos, 3, 16, 1982






