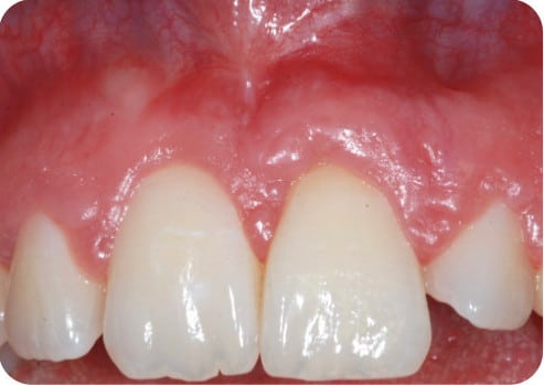
È un tumore alle gengive, normalmente benigno, che ha la forma di una massa rotondeggiante rilevata, una neo formazione di origine infiammatoria che sembra tragga origine dal legamento parodontale. Che cos'è l'epulide gengivale Nel 99% dei casi è di origine benigna mentre nell'1% dei casi esaminati è di origine maligna. L'epulide è sempre collegata al …
È un tumore alle gengive, normalmente benigno, che ha la forma di una massa rotondeggiante rilevata, una neo formazione di origine infiammatoria che sembra tragga origine dal legamento parodontale.
Che cos’è l’epulide gengivale
Nel 99% dei casi è di origine benigna mentre nell’1% dei casi esaminati è di origine maligna. L’epulide è sempre collegata al legamento parodontale degli elementi dentali e trovasi più frequentemente a livello degli incisivi e dei canini.
Si presenta sotto diverse forme con quadri istologici caratterizzati da una predominanza di formazioni granulomatose o fibrocellulari o plasmacellulari, forme comunque caratteristiche di flogosi cronica. Viene anche classificata come aumento di volume gengivale localizzato assieme a iperplasia fibrosa, cisti gengivale, esostosi, escrescenza gengivale, fibroma gengivale emangioma.
In una ricerca retrospettiva recente (2018) si è rilevato che l’1,1% dei 1187 casi diagnosticati come epulide erano lesioni maligne.
Già nel 1998 pubblicavo su Dental Cadmos, rivista italiana, un case series in cui riportavo che
“I quadri patologici sopra riportati, pur essendo di natura benigna, vanno sempre biopsati, al fine di differenziarli dalle forme neoplastiche”
per evidenziare sempre l’importanza di effettuare una corretta diagnosi.
Quali sono le cause dell’epulide gengivale
Il meccanismo per cui si sviluppa un epulide è attualmente poco noto e probabilmente multifattoriale. Vi sono comunque evidenze cliniche che si tratti di una reazione ad un importante processo infiammatorio gengivale mediato dalla placca batterica in bocche igienicamente trascurate.
Se hai dubbi sull’epulide, contattaci subito per avere maggiori informazioni o per prenotare la tua visita di controllo.
Epulide in gravidanza
L’epulide gengivale che si riscontra in gravidanza rientra nella cosiddetta gengivite gravidica. E’ prevalente tra il 3 e il 6 mese ed è dovuta ad una serie di cambiamenti ormonali, con un aumento notevole dei livelli di progesterone ed estrogeni accompagnati da una forte permeabilità vascolare. Questa situazione clinica è spesso accompagnata da mobilità dentaria con fastidi diffusi a tutta la bocca. Infatti, l’epulide si accompagna spesso a situazioni parodontali compromesse con gengive sanguinamenti di color rosso scuso, gengive gonfie ed edematose, presenza di pseudotasche, tartaro ed alito cattivo. Una situazione igienico-orale non appropriata amplifica la risposta ormonale.
Come si previene l’epulide gengivale
Si pensa che un’igiene accurata, ripetitiva e controllata abbia un effetto preventivo assai importante.
Ma perchè parliamo di epulide? Che cosa la rende, ieri come oggi, così interessante?
L’originalità di quanto da me scoperto 31 anni fa è che tale tumore può essere sconfitto in maniera intelligente e definitiva, senza rimuoverlo e, specialmente in caso di recidiva, senza rimuovere i denti circostanti con un indubbio e positivo risultato funzionale ed estetico.
Le tecnica si basa infatti sull’idea di poter “ingannare” l’epulide inserendo sotto la stessa un piccolo rettangolino di tessuto sano connettivale (innesto) prelevato dal palato del paziente, previo precedente o concomittante prelievo bioptico al fine di scompaginare le linee di difesa del tumore.
Invece, l’asportazione in toto della lesione comporterebbe un’importante menomazione estetica con comparsa di recessioni gengivali ed aumento della sensibilità dentale.
Questa tecnica innovativa elimina completamente questa problematica con il risultato di assistere clinicamente ad un progressive restringimento della formazione epulide fino alla sua completa scomparsa nel giro di poche settimane, determinando al contempo un aumento della gengiva cheratinizzata, migliorando di gran lunga l’estetica ed evitando una duplice estrazione dentale sempre necessaria dopo recidiva.
È comunque importante sottolineare che questi pazienti devono essere sempre e preliminarmente inseriti in una terapia parodontale al fine di eliminare o ridurre l’infiammazione presente.
Se hai dubbi sull’epulide, contattaci subito per avere maggiori informazioni o per prenotare la tua visita di controllo.

Epulide gengivale che cos’è e come si cura: il video
Per approfondire la cura dell’epulide vi invito a leggere l’articolo di approfondimento dal titolo “Come si risolve il problema dell’epulide? Casi clinici” e l’ultimo articolo pubblicato Epulide: i miglioramenti dati dalla terapia igienica
Bibliografia:
- Checchi L. Epulide ed innesto bilaminare: alternative all’escissione. Dental Cadmos 1998;8:11-4.
- Checchi L, Marini I, Montevecchi M. A technique to remove epulis: case reports. Int J Periodontics Restorative Dent 2004;24:470-5.
- Checchi L, Montevecchi M, Marucci G, Checchi V. A proposed new index for clinical evaluation of interproximal soft tissues: the interdental pressure index. Int J Dent 2014;2014:1-7.
- Checchi V., Masi I., Checchi L., L’innesto connettivale nel trattamento chirurgico dell’epulide: caso clinico, Dental Cadmos, 2019, 2, 102-108
- Paris Tamiolakis et all. Localised gingival enlargements. A clinicopathological study of 1187 cases. Oral Medicine and Oral Pathology. 2018, I, 23, 320-5.






